Profesjonalne zabiegi w trosce o Twój uśmiech
Wykonujemy zabiegi chirurgiczne w sposób bezpieczny, precyzyjny i komfortowy – zawsze poprzedzone pełną diagnostyką i indywidualnym planem leczenia.

Zakres zabiegów chirurgii stomatologicznej
Oferujemy kompleksową pomoc w zakresie:
-
Ekstrakcje zębów – usuwanie zębów zniszczonych próchnicą, złamanych lub wymagających usunięcia ze wskazań ortodontycznych czy protetycznych.
-
Usuwanie zatrzymanych ósemek – chirurgiczne ekstrakcje zębów mądrości, które nie wyrzynają się prawidłowo, powodują ból, stan zapalny lub stłoczenie zębów.
-
Resekcja wierzchołka korzenia – zabieg pozwalający uratować ząb, gdy leczenie kanałowe nie przynosi pełnego efektu.
-
Hemisekcje i radektomie – usunięcie części lub całego korzenia w zębach wielokorzeniowych, przy zachowaniu ich funkcjonalności.
-
Plastyka wędzidełek – krótki, bezbolesny zabieg poprawiający funkcję języka czy estetykę uśmiechu.
-
Nacięcie ropnia i zabiegi wspomagające leczenie stanów zapalnych – szybka ulga w nagłych sytuacjach.

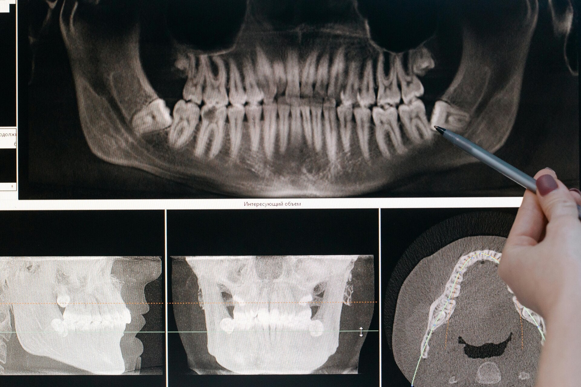
Nowoczesna diagnostyka i bezpieczeństwo
Każdy zabieg poprzedzamy dokładnym badaniem klinicznym i obrazowym.
Dzięki temu plan leczenia jest zawsze dopasowany do indywidualnych potrzeb pacjenta i minimalizuje ryzyko powikłań.
Dlaczego warto wybrać naszą klinikę?
-
👩⚕️ Doświadczeni chirurdzy stomatologiczni – lata praktyki i setki przeprowadzonych zabiegów.
-
💉 Bezbolesne leczenie – stosujemy skuteczne znieczulenia miejscowe oraz, w razie potrzeby, znieczulenie ogólne.
-
🖥 Nowoczesny sprzęt – precyzyjna diagnostyka i minimalnie inwazyjne techniki chirurgiczne.
-
🤝 Opieka po zabiegu – szczegółowe zalecenia i kontrola, która zapewnia szybkie i bezproblemowe gojenie.
Podczas konsultacji przeprowadzimy wywiad, wykonamy niezbędne badania i zaproponujemy najlepsze rozwiązanie dla Twojego przypadku.
Chirurgia stomatologiczna w Warszawie w naszej klinice to połączenie profesjonalizmu, bezpieczeństwa i troski o komfort pacjenta.